近日,太阳成集团tyc9728王丽副教授和聊城市人民医院病理科联袂合作,成功在1名遗传性平滑肌瘤病及肾细胞癌相关子宫平滑肌瘤患者体内发现了HF基因新变异,这也是在中国人群中首次发现这一罕见病的新型FH变异。团队将患者临床表现和家系随访等相关内容进行了分析,为遗传咨询提供了更高级别的证据等级。文章《A new missense mutation c.1240A>G in fumarate hydratase gene leads to uterine leiomyoma associated hereditary leiomyomatosis and renal cell cancer (HLRCC) syndrome in Chinese》以太阳成集团tyc9728为第一署名单位发表在《Translational Oncology》(中科院医学二区,IF="5.0)杂志上。

论文链接:https://doi.org/10.1016/j.tranon.2024.101963
子宫平滑肌瘤是女性生殖系统最常见的妇科良性肿瘤,发病原因有众多学说,目前尚未确定普通型子宫肌瘤发生的候选基因。遗传性平滑肌瘤病和肾细胞癌(hereditary leiomyomatosis and renal cell carcinoma,HLRCC)综合征作为子宫平滑肌瘤的一种类型,已证实与编码线粒体延胡索酸水合酶(fumarate hydratase,FH)的基因突变相关,导致FH 表达缺失。HLRCC是世界卫生组织于2016年新命名并且归类的一种罕见肾细胞癌疾病,是一种常染色体显性遗传性家族性疾病,当子宫肌瘤作为遗传性平滑肌瘤病和肾细胞癌综合征伴随疾病发生时,发病年龄较小,肌瘤常表现为数量多、体积大,且肌瘤剔除术后复发率较高。HLRCC 综合征中最严重的疾病是肾癌,也是患者死亡的主要原因,患者平均发病年龄为 36 岁,就诊时多为晚期,预后极差。在女性患者中,子宫平滑肌瘤被认为是HLRCC的前哨肿瘤,提供足够的临床证据,对于肿瘤的预防和遗传咨询有着重要的指导意义。
先证者Ⅲ-4是1名35岁女性,发现子宫肌瘤6年,月经量增多1年。家族史:其父亲Ⅱ-3因“肾集合管癌”在55岁时去世,母亲Ⅱ-4健在,其姐姐Ⅲ-3和妹妹Ⅲ-5均因“子宫肌瘤”在30岁时行手术治疗,其哥哥Ⅲ-2健在。另外,其祖母Ⅰ-1患有子宫肌瘤,50岁去世,具体死因不详,其祖父Ⅰ-1于80岁时去世,具体死因不详。其姑姑Ⅱ-1和表姐Ⅲ-1均因子宫肌瘤行手术治疗,其伯父健在Ⅱ-2。

手术所见:患者行经腹子宫肌瘤剔除术+子宫修补术,开腹探查见子宫体如孕6个月大小,外形不规则,表面可见多个自肌壁间突出的肌瘤,较大者位于子宫前壁及子宫下段后壁,直径8-10 cm,并见多个浆膜表面的肌瘤,共剔除大小肌瘤20余枚。双侧卵巢及输卵管外观无明显异常。
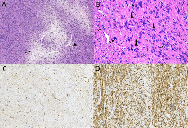
免疫组化显示部分平滑肌瘤的瘤细胞FH染色缺失,部分FH染色阳性,所有肿瘤细胞2-琥珀酸半胱氨酸(2SC)染色阳性,支持FH缺乏的存在。

进一步进行了分子检测结果:FH基因测序检测到不确定意义变异(VUS),FH c.1240A>G(p.Lys414Glu)。

综合以上证据,根据ACMG/AMP标准,FH c.1240A>G(p.Lys414Glu) 判读为likely pathogenic,此病例符合延胡索酸水合酶(fumarate hydratase,FH)的基因突变相关遗传性平滑肌瘤病和肾细胞癌综合征(HLRCC)的临床诊断。

此病人最初疾病确诊时,FH c.1240A>G(p.Lys414Glu)当时的证据仅为PM2、PP2、PP3, 根据ACMG/AMP标准,FH c.1240A>G(p.Lys414Glu) 判读为临床意义不明变异(variants of uncertain significance,VUS)。该临床意义不明变异无法给出疾病明确的解释,增加患者临床管理的不确定性,并可能产生与致病性变异一样多的焦虑。所以,团队通过收集表型、分析家系、查阅数据库及相关功能实验等方式,持续努力地对每个VUS进行重新分类,明确其与疾病的关系。成功地将FH c.1240A>G(p.Lys414Glu)变异升级为likely pathogenic,并为患者提供了更好的遗传咨询、子宫再发肌瘤处理建议,肾脏肿瘤早期筛查建议。
王丽副教授长期致力于医学临床研究,与聊城市内外医疗机构相关临床科室合作,带头组建妇科肿瘤、围产期急危重症、神经重症相关临床管理和随访等临床研究团队,手术技术、临床管理和患者随访等相关研究成果在《Scientific Reports》、《Frontiers in Oncology》等国内外知名期刊发表。
(审核 白东芳)